Masson染色
丽春红酸性品红-苯胺蓝染色,是用于检测动物组织中胶原纤维的一种染色方法之一,能够将胶原纤维染成蓝色,肌纤维、和红细胞呈红色,可用于鉴胶原纤维和肌纤维;并显示各种组织胶原纤维含量及纤维化程度。
技术原理
Masson染色时胶原纤维呈蓝色(被苯胺蓝所染)或绿色(被亮绿所染),肌纤维呈红色(被酸性品红和丽春红所染),这与阴离子染料分子的大小和组织的渗透性有关。如已固定的组织用一系列阴离子水溶性染料先后或混合染色,则可发现红细胞被最小分子的阴离子染料着染,肌纤维与胞质被中等大小的阴离子染料着染,而胶原纤维则被大分子的阴离子染料着染。由此说明了红细胞对阴离子染料的渗透性最小,肌纤维与胞质次之,而胶原纤维具有最大的渗透性。根据组织不同的渗透性能,选择分子大小不同的阴离子染料进行染色,便可把不同组织成分显示出来。
实验步骤

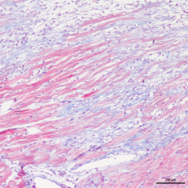
实验结果展示:

<masson-心梗>
常见问题
染色易脱片?
组织本身破碎或过硬等,用防脱载玻片解决;
脱水、透明不足,重新脱水透明浸蜡;
脱水、透明过度,用酒精甘油各半浸泡切面后再切片。
切片过厚,厚薄均匀切片。
切片染色不均?
取材固定不当,取材规范标准,固定彻底;
脱水不够,重新脱水、透明、浸蜡。
切片染色模糊不清?
包埋蜡温度过高;
分化过度;
脱水透明不彻底。
送样运输要求
1.样本放置于20倍样本体积的固定液中固定24h以上,常温运输送样。切勿固定时间过长,切勿冷冻结冰。
2.石蜡切片常温运输,冰冻切片-20℃运输。
